37+ Spinal Fusion Hardware Failure PNG

37+ Spinal Fusion Hardware Failure PNG. Spine fusion risks and complications. I am now having my hardware removed because.

Neck and Spine Medical Apparatus: a gallery
Neck and Spine Medical Apparatus: a gallery from orthoapparatus.com
Failure to fuse, or pseudoarthrosis, is a risk of back surgery like yours. This is because these patients lose ventilatory function rapidly through adolescence, making the surgery more dangerous as time passes. Failure could mean different things however, this complication is happening less frequently as spinal hardware devices become more and more another common definition of a failed spinal fusion is continuously experiencing a significant.

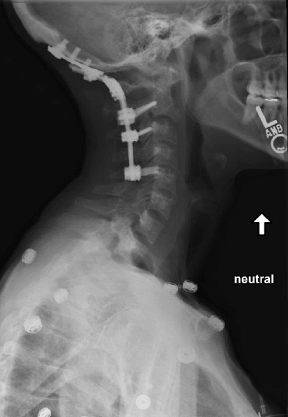
The significance of hardware failure in anterior cervical plate fixation.

Failure to fuse, or pseudoarthrosis, is a risk of back surgery like yours. L4/l5 fusion on monday, recovery going well but feel the hardware when i lay on my back (self.spinalfusion). The goal is to stop movement between the two bones and prevent back pain. Spine fusion risks and complications.